“Podemos diseñar la forma que adoptará un tejido vivo simplemente controlando cómo se orientan sus células”, señalan los autores del estudio
Redacción
Durante mucho tiempo, moldear materia viva ha sido uno de los grandes desafíos de la ciencia. No porque falten herramientas, sino porque los tejidos biológicos no son materiales pasivos: crecen, se reorganizan, generan fuerzas propias. Intentar darles forma es, en cierto modo, negociar con algo que tiene su propia dinámica.
Ahora, un equipo internacional liderado por el Instituto de Bioingeniería de Cataluña, junto a la Universitat Politècnica de Catalunya, el Centro Internacional de Métodos Numéricos en la Ingeniería (CIMNE) y el Laboratorio de Biología Molecular Europeo, ha dado un paso que hasta hace poco parecía más cercano a la ciencia ficción que a la ingeniería: crear tejidos vivos capaces de cambiar de forma de manera programada. El avance, publicado en Science, demuestra algo fundamental: no hace falta esculpir un tejido desde fuera. Basta con organizarlo desde dentro.
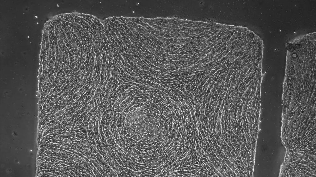
La clave está en una idea aparentemente simple: controlar la orientación de las células. Pero esa simplicidad es engañosa. En los tejidos biológicos, las células no se disponen al azar. Muchas de ellas, especialmente las alargadas, tienden a alinearse como fibras en un tejido. A ese comportamiento se lo conoce como orden nemático, un concepto prestado de la física de materiales. Sin embargo, ese orden nunca es perfecto. A veces se rompe en puntos concretos, generando lo que los científicos llaman defectos topológicos, pequeñas regiones donde la alineación se desorganiza. Lejos de ser imperfecciones sin importancia, estos defectos actúan como centros de fuerza: lugares donde el tejido empuja, se contrae o se pliega.
Ahí es donde entra la innovación. El equipo logró no solo observar estos defectos, sino decidir dónde aparecen. “La clave es que podemos decidir dónde estarán estos defectos y, por tanto, dónde se generarán las fuerzas dentro del tejido”, explica Pau Guillamat, líder del estudio.
Para conseguirlo, los científicos diseñaron superficies con micropatrones químicos, como si dibujaran un mapa casi invisible. Utilizaron proteínas que atraen a las células para trazar líneas sobre las que estas se adhieren, rodeadas de zonas donde no pueden fijarse. El resultado es que las células se alinean siguiendo ese patrón, como si obedecieran una “coreografía”. Y esa coreografía importa. Porque, como resume Guillamat, “la orientación de las células controla las fuerzas, y las fuerzas pueden controlar la generación de una forma tridimensional”.
El experimento decisivo llegó después. Mientras el tejido permanece adherido a la superficie, esas fuerzas internas están contenidas, como si estuvieran atrapadas. Pero cuando el equipo de Guillamat lo libera (es decir, cuando lo despegan) ocurre algo inesperado y, a la vez, profundamente lógico: el tejido se deforma. Se pliega, se contrae, adopta una nueva forma. No al azar, sino siguiendo el patrón que se había programado previamente.

La analogía es casi doméstica. “Es como una lámina elástica tensada y fijada en los bordes. Mientras está sujeta, no se deforma; pero al liberarla, adopta una nueva geometría determinada por las tensiones internas”, añade Guillamat. En el caso del tejido, esas tensiones no vienen de fuera, sino de la propia actividad de las células.
Para entender y predecir este comportamiento, el equipo desarrolló además modelos teóricos y simulaciones. Aquí entra en juego el trabajo liderado por Marino Arroyo, experto en ingeniería ambiental, que permitió establecer una relación cuantitativa entre el patrón de orientación celular y la forma final del tejido. “Nuestros modelos nos han permitido identificar el mecanismo por el que la orientación celular conduce al plegado tridimensional – señala Arroyo -. Y, además, proporcionan una relación cuantitativa entre el patrón y la forma”.
Es, en esencia, un lenguaje. Una forma de traducir organización celular en geometría. Para Xavier Trepat, coautor del estudio, el avance tiene un significado claro: “Estamos demostrando que podemos diseñar la forma que adoptará un tejido vivo simplemente controlando cómo se orientan sus células”. La palabra importante aquí es “diseñar”. Porque implica pasar de observar la biología a empezar a dirigirla.

Las implicaciones son enormes. En ingeniería de tejidos, podría permitir crear estructuras tridimensionales sin necesidad de andamiajes artificiales, dejando que el propio material se organice. En robótica biohíbrida, abre la puerta a sistemas que se mueven gracias a tejidos vivos que actúan como actuadores. Y en el diseño de materiales inteligentes, sugiere la posibilidad de superficies vivas capaces de cambiar de forma (y quizá hasta de función) en respuesta a estímulos.
“Estos sistemas pueden considerarse materiales vivos que generan fuerzas y formas programables, y que además pueden integrar información y responder de manera inteligente – concluye Guillamat -. Es una herramienta perfecta para entender cómo los patrones de orientación celular influyen en la mecánica y la evolución de tejidos complejos”.En el fondo, lo que este estudio sugiere es un cambio de enfoque. Durante décadas, la ingeniería ha intentado imponer formas a la materia viva. Ahora empieza a aprender algo distinto: cómo susurrarle instrucciones para que sea ella misma quien se dé forma.
Fuente: La Razón